W dzisiejszej stomatologii protetycznej korony pełnoceramiczne stały się jednym z najbardziej cenionych rozwiązań dla pacjentów poszukujących trwałej i naturalnie wyglądającej odbudowy zębów. Te zaawansowane rekonstrukcje protetyczne nie tylko wzmacniają uszkodzony ząb, ale także doskonale naśladują wygląd naturalnego uzębienia, co czyni je idealnym wyborem w strefie estetycznej uśmiechu. W tym artykule przyjrzymy się bliżej sytuacjom, w których korona pełnoceramiczna jest niezbędna, oraz odkryjemy, dlaczego nowoczesna ceramika łączy w sobie wyjątkową wytrzymałość mechaniczną z subtelną przeziernością i strukturą przypominającą szkliwo.
Kiedy ząb wymaga wzmocnienia protetycznego
Uszkodzenia zębów mogą mieć różne przyczyny, od próchnicy po urazy mechaniczne, a w zaawansowanych przypadkach zwykłe plomby czy wypełnienia nie wystarczają. Ząb jest na tyle uszkodzony, że wymaga wzmocnienia i odbudowy przy pomocy korony protetycznej, gdy jego struktura została znacząco osłabiona. Na przykład, po leczeniu kanałowym endodontycznym korzeń zęba traci znaczną część swojej wytrzymałości, ponieważ usunięto miazgę i wypełniono kanały, co osłabia ściany zęba. W takich sytuacjach korona działa jak ochronna “czapka”, pokrywająca całą powierzchnię korony zęba i zapobiegając dalszemu pękaniu lub złamaniu.
Inną częstą sytuacją jest rozległa próchnica, która zniszczyła więcej niż połowę tkanki zęba, lub pęknięcia szkliwa spowodowane bruksizmem – nocnym zgrzytaniem zębami. Tutaj korona protetyczna nie tylko restytuuje kształt i funkcję zgryzową, ale także chroni przed infekcjami bakteryjnymi, które mogłyby rozprzestrzenić się do ozębnej. Dentysta ocenia stan zęba za pomocą badań radiologicznych, takich jak RTG panoramiczne, i testów żywotności miazgi, aby zdecydować, czy korona jest konieczna. Bez takiego wzmocnienia ząb może ulec całkowitej utracie, co prowadzi do konieczności implantacji lub mostu protetycznego.
W praktyce klinicznej korony pełnoceramiczne są szczególnie polecane w przednim odcinku łuku zębowego, gdzie estetyka gra kluczową rolę. Na przykład, po urazie sportowym, który spowodował złamanie siekacza, pacjent zyskuje nie tylko stabilność, ale także uśmiech bez widocznych śladów leczenia. Proces diagnostyki obejmuje również analizę okluzji – sposobu styku zębów – aby korona idealnie wpasowała się w zgryz, unikając przeciążeń.
Zalety nowoczesnej ceramiki w rekonstrukcji zębów
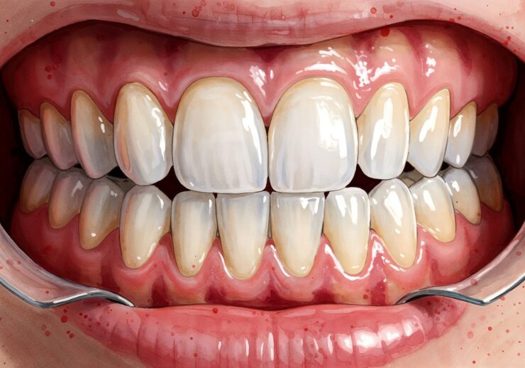
Nowoczesna ceramika dentystyczna to materiał, który rewolucjonizuje protetykę dzięki unikalnym właściwościom. Korony pełnoceramiczne, wykonane z monolitycznej ceramiki lub warstwowo z cyrkonem jako rdzeniem, oferują wytrzymałość mechaniczną na poziomie porównywalnym z metalokeramikami, ale bez metalowego podkładu, co eliminuje problemy z alergiami czy szarzeniem dziąseł. Materiały takie jak zirconia (tlenek cyrkonu) lub szkło-ceramika litowa, jak IPS e.max, charakteryzują się twardością zbliżoną do naturalnego szkliwa – około 400-500 jednostek Vickersa – co pozwala im wytrzymywać codzienne siły żucia do 2000 N.
Jedną z największych zalet jest naturalna estetyka, wynikająca z idealnego naśladowania przezierności i struktury szkliwa. Naturalne szkliwo ludzkiego zęba ma warstwową budowę: zewnętrzna warstwa jest półprzezroczysta, umożliwiając przenikanie światła, co nadaje zębom subtelny połysk i głębię koloru. Ceramika dentystyczna replikuje to dzięki technologii gradientowej barwienia i translucencji – na przykład, w koronie pełnoceramicznej rdzeń jest bielszy, a warstwy zewnętrzne bardziej przezroczyste, co imituje efekt optyczny prawdziwego zęba. W efekcie, pod światłem dziennym lub fleszem korona nie odbija się sztucznie, lecz harmonijnie wtapia w uśmiech.
Ponadto, te korony są biokompatybilne, co oznacza, że nie wywołują reakcji zapalnych w tkankach przyzębia. W porównaniu do starszych materiałów, jak akryl czy metal, ceramika nie absorbuje zapachów ani barwników z żywności, zachowując higienę na lata. Badania kliniczne, takie jak te publikowane w Journal of Prosthetic Dentistry, potwierdzają, że korony pełnoceramiczne mają wskaźnik przeżywalności powyżej 95% po 5 latach, dzięki odporności na ścieranie i pękanie. To połączenie wytrzymałości z estetyką czyni je idealnym wyborem dla pacjentów aktywnych, dbających o wygląd.
Proces zakładania korony pełnoceramicznej krok po kroku
Zakładanie korony pełnoceramicznej to precyzyjny proces, który wymaga kilku wizyt u dentysty i współpracy z laboratoriami protetycznymi. Na początku lekarz przygotowuje ząb, szlifując jego powierzchnię o około 1-2 mm, aby zrobić miejsce dla korony bez nadmiernego obciążania zgryzu. W przypadku zębów martwych po leczeniu kanałowym, korzeń jest stabilizowany wkładem szklanym lub włóknowym, który wzmacnia fundament pod koronę.
Następnie pobierany jest wycisk – tradycyjny lub cyfrowy za pomocą skanera intraoralnego, co pozwala na stworzenie modelu 3D zęba. W laboratorium protetycznym, z wykorzystaniem systemów CAD/CAM, projektowana jest korona, a następnie frezowana z bloku ceramicznego. To pozwala na dokładne dopasowanie do anatomii zęba, w tym guzków żujących i bruzd. Kolor dobierany jest za pomocą skali Vita, aby idealnie pasował do sąsiednich zębów, uwzględniając odcienie od A1 (najjaśniejszy) po D4 (najciemniejszy).
Po wyfrezowaniu korona jest wypalana w piecu ceramicznym w temperaturze powyżej 800°C, co nadaje jej ostateczną twardość. Na wizycie kontrolnej dentysta sprawdza dopasowanie, koryguje okluzję i cementuje koronę za pomocą adhezyjnych cementów kompozytowych, które zapewniają trwałą więź z tkanką zębową. Cały proces trwa zwykle 2-3 tygodnie, ale dzięki technologii cyfrowej może być skrócony do jednego dnia w przypadku same-day crowns. Po założeniu pacjent otrzymuje wskazówki higieniczne: szczotkowanie miękką szczoteczką, nitkowanie i regularne wizyty kontrolne, aby uniknąć odkładania się kamienia.
Porównanie z innymi rodzajami koron i wskazania do wyboru
Korony pełnoceramiczne wyróżniają się na tle innych opcji, takich jak metalokeramiczne czy pełnometalowe. Te ostatnie oferują wysoką wytrzymałość, ale metalowy rdzeń może powodować reakcje alergiczne i nieestetyczne cieniowanie na dziąsłach, co dyskwalifikuje je w widocznym uśmiechu. Korony kompozytowe, choć tańsze, są mniej trwałe i podatne na przebarwienia, z żywotnością poniżej 5 lat.
Wybór pełnoceramicznej zależy od lokalizacji zęba: w tylnych trzonowcach, gdzie siły żucia są największe, preferowana jest cyrkonowa podstawa dla dodatkowej stabilności. Dla siekaczy i kłów, gdzie estetyka jest priorytetem, szkło-ceramika zapewnia lepszą translucencję. Koszt takiej korony waha się od 1500 do 3000 zł, w zależności od materiału i laboratorium, ale inwestycja ta zwraca się w postaci długoterminowej ochrony i naturalnego wyglądu.
Mimo zalet, nie są one uniwersalne – w przypadkach ekstremalnego bruksizmu lub braku wystarczającej tkanki zęba mogą wymagać wsparcia mostem lub implantem. Dentysta zawsze indywidualnie ocenia, czy korona pełnoceramiczna to najlepsze rozwiązanie, biorąc pod uwagę stan zdrowia jamy ustnej i nawyki pacjenta.
Podsumowując, korony pełnoceramiczne reprezentują szczyt współczesnej protetyki, oferując harmonijne połączenie mechanicznej solidności z biologiczną wiernością naturze. Dla osób z uszkodzonymi zębami to nie tylko odbudowa, ale droga do odzyskania pewności siebie i komfortu codziennego. Jeśli rozważasz taką rekonstrukcję, skonsultuj się ze specjalistą – nowoczesna stomatologia czyni cuda, by Twój uśmiech był jak nowy.
[ KONIEC ]
Treści w całości lub ich fragmenty mogły zostać stworzone przy wykorzystaniu sztucznej inteligencji (AI). Niektóre informacje mogą być niepełne lub nieścisłe oraz zawierać błędy i/lub przekłamania.
Publikowane treści mają charakter wyłącznie informacyjny i nie stanowią porady w szczególności porady prawnej, medycznej ani finansowej. Artykuły sponsorowane i gościnne są przygotowywane przez zewnętrznych autorów i partnerów. Redakcja nie ponosi odpowiedzialności za aktualność, poprawność ani skutki zastosowania się do przedstawionych informacji. W przypadku decyzji dotyczących zdrowia, prawa lub finansów należy skonsultować się z odpowiednim specjalistą.
Zobacz także: Stomatologia Estetyczne – Zdrowie i Uroda
[ ILUSTRACJE ]
Watercolor concept art, dynamic, vivid color transitions, blurred edges, bold modern textures, warm light, scandinavian art style brush strokes, of: A close-up view of a patient’s bright smile showing front teeth restored with a full ceramic crown seamlessly blending with natural adjacent teeth, highlighting the crown’s translucent enamel-like structure and subtle light reflection for a natural aesthetic, with a subtle indication of underlying strength like a reinforced core. ;;Image without icons or texts. Medical-like style.
;;Style: Watercolor concept art on thick watercolor paper, subtle ink stains, painted wet-on-wet technique, high dynamic contrast.

